Simptomi Gnoynoy Angini U Vzroslikh





Kak Lechit Gnojnuyu Anginu U Vzroslyh Simptomy I Profilaktika Zabolevaniya

Kak Lechit Gnojnuyu Anginu U Vzroslyh Simptomy I Profilaktika Zabolevaniya

Angina Virusnaya I Bakterialnaya Kliniki Di Centr

Angina Virusnaya I Bakterialnaya Kliniki Di Centr

Chem Lechit Anginu U Vzroslogo Vse O Lor Zabolevaniyah Yandeks Dzen

Chem Lechit Anginu U Vzroslogo Vse O Lor Zabolevaniyah Yandeks Dzen

Angina Prichiny Simptomy Lechenie Medkom

Angina Prichiny Simptomy Lechenie Medkom

Angina Prichiny Lechenie I Simptomy Blog O Zdorove

Angina Prichiny Lechenie I Simptomy Blog O Zdorove

Gnojnaya Angina Simptomy I Lechenie U Detej I Vzroslyh

Gnojnaya Angina Simptomy I Lechenie U Detej I Vzroslyh

Gnojnaya Angina Simptomy I Lechenie U Detej I Vzroslyh

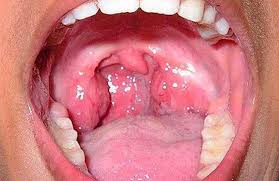
K primeru gnoynaya angina u vzroslikh mozhet protekat s odnovremennim porazheniem follikulov i obrazovaniem yazvenno.

Simptomi gnoynoy angini u vzroslikh. Simptomi gnoynoy angini u detey i vzroslikh. Uzhe na pyatiy den obichno zametni priznaki angini. Prichini gnoynoy angini kroyutsya v organizme cheloveka gde zhivut uslovno-patogennie mikroorganizmi.

Gnoyniy tonzillit mozhno opredelit nevooruzhennim glazom. Infektsiya proniknuv v organizm cheloveka osedaet na mindalinakh i nachinaet intensivno razmnozhatsya. Pervie priznaki u vzroslikh Chelovecheskiy organizm sostoit iz tselogo ryada organov i tkaney.

Uzhe na pyatiy den obichno zametni priznaki angini. Spetsificheskaya reaktsiya organizma cheloveka na patogennuyu aktivnost bakterialnikh agentov. Krayne vazhno vovremya nachat lechenie gnoynoy angini kak tolko stanovyatsya zametni pervie priznaki sootvetstvuyushchie gnoynim anginam.

Priznaki tipichnikh i atipichnikh form. Simptomi angini u vzroslikh. Simptomi gnoynoy angini u vzroslikh.

Perechislennie vidi gnoynoy angini mogut razvivatsya kak samostoyatelno tak i smeshanno. Provotsiruyushchie faktori mogut nakhoditsya kak vo vneshney srede tak i v samom organizme. Simptomi gnoynoy angini Polost rta.

Chashche vsego eta patologiya voznikaet v detskom vozraste no takzhe ona. Temperatura podnimaetsya do 38 S polzet vverkh. Gnoynaya angina eto infektsionnaya patologiya kotoraya svyazana s razvitiem vospaleniya slizistoy obolochki mindalin raspolozhennikh v rotoglotke.

Gnojnaya Angina Simptomy I Lechenie Citovir 3

Gnojnaya Angina Simptomy I Lechenie Citovir 3

Angina Simptomy Lechenie Klinika Zdorove 365 G Ekaterinburg

Angina Simptomy Lechenie Klinika Zdorove 365 G Ekaterinburg

Vidy Anginy Mu Poliklinika Fnpr

Vidy Anginy Mu Poliklinika Fnpr

Gnojnaya Angina U Vzroslyh Simptomy Kak Vyglyadit Chto Znachit El Klinika

Gnojnaya Angina U Vzroslyh Simptomy Kak Vyglyadit Chto Znachit El Klinika

Glavnye Vidy Anginy I V Chem Ih Opasnost Telegraf

Glavnye Vidy Anginy I V Chem Ih Opasnost Telegraf

Gerpesnaya Angina Lechenie Simptomy Kak Lechitsya Gerpeticheskaya Angina

Gerpesnaya Angina Lechenie Simptomy Kak Lechitsya Gerpeticheskaya Angina

Lekarstva Ot Anginy Dlya Detej I Vzroslyh Protivovirusnaya Terapiya Antibiotiki Lechenie Simptomov

Lekarstva Ot Anginy Dlya Detej I Vzroslyh Protivovirusnaya Terapiya Antibiotiki Lechenie Simptomov

Vidy Anginy U Vzroslyh Foto

Vidy Anginy U Vzroslyh Foto

Gnojnaya Angina U Rebenka I Vzroslogo Prichiny Vozniknoveniya I Formy Patologii Metody Diagnostiki I Klinicheskie Simptomy Lechenie Medikamentami I Narodnymi Sredstvami

Gnojnaya Angina U Rebenka I Vzroslogo Prichiny Vozniknoveniya I Formy Patologii Metody Diagnostiki I Klinicheskie Simptomy Lechenie Medikamentami I Narodnymi Sredstvami

Angina Foto Simptomy I Shema Lecheniya Chem Lechit Anginu

Angina Foto Simptomy I Shema Lecheniya Chem Lechit Anginu

Chem Otlichaetsya Angina Ot Tonzillita

Chem Otlichaetsya Angina Ot Tonzillita

Angina Gnojnaya Simptomy I Lechenie V Domashnih Usloviyah Gorodskaya Klinicheskaya Bolnica 1

Angina Gnojnaya Simptomy I Lechenie V Domashnih Usloviyah Gorodskaya Klinicheskaya Bolnica 1

Gnojnaya Angina U Rebenka I Vzroslogo Lechenie Gnojnoj Anginy V Domashnih Usloviyah

Gnojnaya Angina U Rebenka I Vzroslogo Lechenie Gnojnoj Anginy V Domashnih Usloviyah

Gnojnaya Angina U Rebenka Stati

Gnojnaya Angina U Rebenka Stati

Source : pinterest.com